Dos perros al borde de la muerte al comer salchichas con clavos
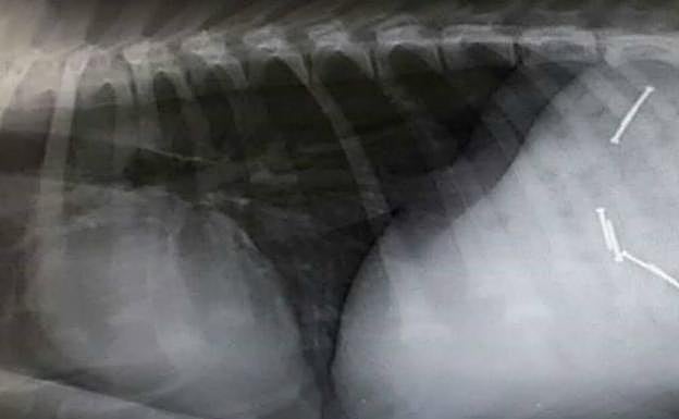
Danko, un cachorro de dos meses ingirió seis clavos que le han dañado el esófago
ideal.es
Jueves, 26 de octubre 2017, 09:50
Las trampas para animales son una plaga en España. Los últimos afectados son Homer y Danko, dos perros de Elche que han estado al borde ... de la muerte tras comer salchicas con clavos en la calle Islas Canarias de la localidad.
Sus propietarios tuvieron que llevarlos rápidamente al Hospital Veterinario San Vicente, donde tuvieron que ser operados de urgencia. Homer ya se recupera en casa tras recibir el alta. Por su parte, Danko, un cachorro de dos meses, también se sometió a cirugía de urgencia, pero si estado es más grave: ingirió seis clavos que le han dañado el esófago. Su pronóstico es reservado.
Más tarde se descubrió que en la citada calle había, cada pocos centímetros, trozos de salchichas con clavos de dos o tres centímetros de longitud en su interior, colocados y preparados con toda intención.
¿Tienes una suscripción? Inicia sesión